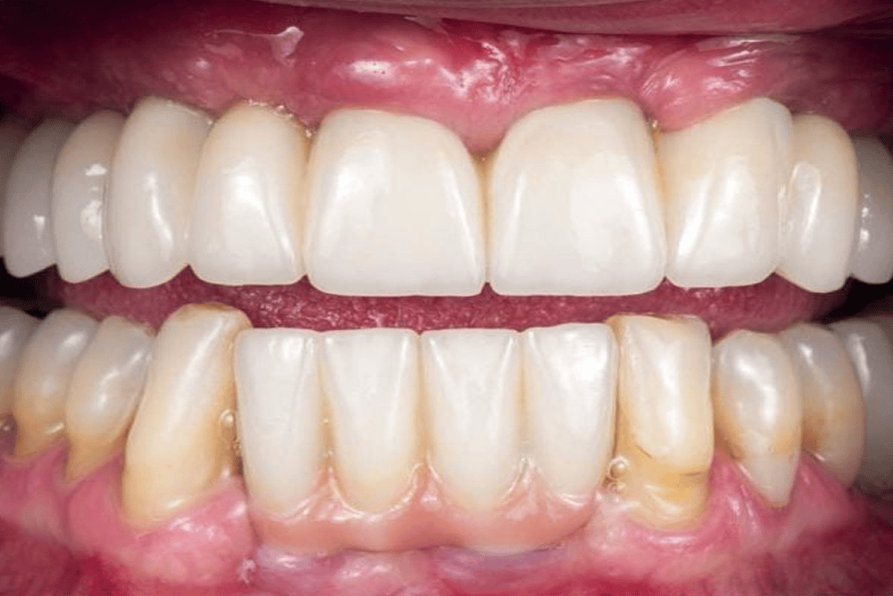
Carillas dentales
Láminas ultrafinas de porcelana/resina que se colocan sobre la superficie del diente para mejorar forma, color y alineación.
Saber más
Contamos con diferentes técnicas, herramientas y equipos que nos permiten dar atención eficaz y humana. Tu salud dental es importante y somos la mejor opción para prevenir o tratar cualquier afección que padezcas.